专题库

草木樨近绢蓟马 481

2018年01月16日 03:43
草木樨近绢蓟马 481-1
草木樨近绢蓟马 481-2
草木樨近绢蓟马 481-3
中名:草木樨近绢蓟马
属名:Sussericothrips
种名:melilotus
标本号:481
leiqun:昆虫类
门:节肢动物门
phylum:Arthropoda
纲:昆虫纲
class:Insecta
目:缨翅目
order:Thysanoptera
中文科名:蓟马科
科名:Thripidae
亚科中名:蓟马亚科
亚科名:Thripinae
作者:韩运发
cite1:韩运发. 1991.绢蓟马亚族一新属和新种. 昆虫学报, 34(2.):208-211.
期刊卷期:34(2)
分类群页码:208-210
论文页码:208-211
图版页码:209
出版时间:1991/5/1 0:00:00
国内分布:河南,陕西,北京
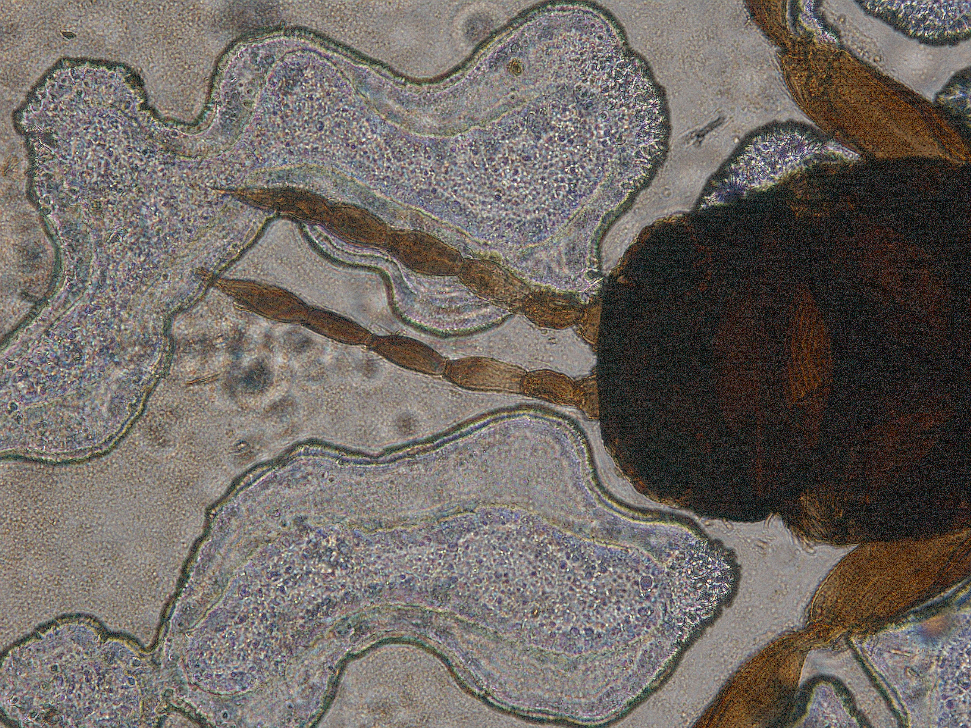
描述:雌虫(长翅型):体二色,除腹部节III-VII或IV-VII浅黄色外,其余部分棕色;触角节I-III浅黄色至黄色;前翅近基部浅黄色,其余暗黄色;各足棕色,但股节、胫节的基部黄色;体鬃与所在部位同色。头宽于长,短于前胸;复眼后一条弧线吧后部切割成半月形后头区,眼间线纹中有细颗粒,眼后有众多横纹;前侧鬃在前单眼两侧,单眼间鬃较细,位于前单眼后缘之两侧,在前后单眼外缘连线上;复眼后短鬃6对;触角8节,节III长约为宽的3.7倍;节V-VI内侧感觉锥基部常与该节愈合;口锥端部窄,申达前胸腹后部;下颚须3节。前胸背板布满交错横纹,骨化板前缘中部显著凹,板区内前内角及后部两侧各有一小无纹区,两侧有大而横的无纹区;各边缘鬃及板内鬃大小近似;中胸背板布满横交错线纹,前外侧鬃短于中后鬃和后缘鬃;后胸背板中、后部有交错横纹,中部线纹略呈迂迴网纹;后部横线内有极短纵线,两侧纵线内有模糊微颗粒;无钟形感觉器;前翅剑形,前缘鬃23根,前脉基鬃+端鬃18根,后脉鬃缺;中胸腹板内叉骨骨刺,后胸内叉骨刺呈双分支;后胸腹板横向半月形,前缘线不特别骨化,中部略向后凹;前足股节较膨大,后足基节粗大,后胫、跗节较长。腹部节I-VIII背板密排微毛,后缘梳毛完整;节II-VII背板前脊线显著,脊线上每侧有骨化结点2+1;节II-VII背板鬃大小近似,除内III鬃在后缘上以外,其余背板鬃均位于背板之前;节IX背板鬃较特殊,前排鬃4对,后缘鬃6对,长鬃3对;腹部节II-VI完全密布微毛,后缘梳毛完整,但节VII-VIII腹部中部缺微毛,节VII后缘两侧有梳毛;无附属鬃。 短翅型雌虫:体色和结构与长翅型相似,但翅胸窄,宽似前胸,翅短小,仅伸达腹部节I。
资料来源:韩运发. 1991.绢蓟马亚族一新属和新种. 昆虫学报, 34(2.):208-211.
junior_syn:N
模式产地:河南安阳,陕西武功,北京
typekeep:国家动物博物馆 标本馆
中国特有:Y
玻片号:4339
采集号:2200
性别:♀
国家:中国
产地1:BJ
采集地:北京
产地2:八达岭
产地3:八达岭
采集日期:1964/5/26 0:00:00
采集人:韩运发
标本属性:副模
标本来源:野外采集
寄主:杂草
鉴定人:韩运发
pdf下载地址:481.pdf
  • 物种名

    草木樨近绢蓟马

  • 拉丁名

    Sussericothrips melilotus

  • 节肢动物门 Arthropoda

  • 昆虫纲 Insecta

  • 缨翅目 Thysanoptera

  • 蓟马科 Thripidae

  • 资源编码

    21131555107

  • 描述

    雌虫(长翅型):体长1-1.1mm。体二色,除厦部节Ⅲ一Ⅶ或Ⅳ一Ⅶ淡黄或黄色外,其余部分棕色;触角节I-Ⅲ(最端部略暗除外)淡黄至黄色;前翅近基部(包括翅1/5)及端部(约占翅长4/5)暗黄色。各足棕含色,但股节、胫节的基部黄色。体鬃与所在部位同色。 头宽于长,短于前胸,长99μm(以下量度单位相同),后缘宽189。眼后一条弧线把后部切割成半月形后头区。眼间线纹中有细颗粒,眼后有众多横纹。复眼长70,前单眼前鬃长29前侧鬃长31;单眼间鬃较前两种单眼鬃细而短,长24,间距21,位于前单眼后缘之两侧,在前后单眼外缘连线上。单眼和复眼后鬃共6对,较短。触角8节,节Ⅱ最粗,节Ⅲ最长,基部有梗,端部如同节Ⅳ细如瓶颈。各节长(宽):节Ⅰ22(30),Ⅱ32(26),Ⅲ65(18),Ⅳ58(19),V47(17),Ⅵ53(17),Ⅶ10(6),Ⅷ14(4),总长304,节Ⅲ长为宽的3.7倍。触触角节Ⅲ、Ⅳ又状感觉锥臂长28;节Ⅴ外端简单感觉锥长6,侧锥长26;节Ⅵ外端锥长19,内侧锥长31。节V和Ⅵ内侧感觉锥基部常与该节愈合。口锥端部较窄,伸达前胸腹片后部。 前胸长128,中部宽233、背片布满交错横纹;骨化板前缘中部显著凹,板区内前内角及后部两侧各有一小无纹区,两侧有大而横的无纹区。各边缘鬃及板区的内鬃大小近似;各边缘鬃长:前缘鬃30,前角鬃20,側鬃13,后角外鬃19,后角内鬃15,后缘鬃内Ⅰ30,内Ⅱ36,板区内前缘鬃3对,侧缘鬃2对。中胸盾片布满横交错较;前外则鬃不一股,短于中后鬃和后缘鬃,长12;中后鬃长24,距后缘23;后缘鬃长25,距后缘20,后胸盾片中、后部有交错横纹,中部线纹略呈迂回网纹;后部横纹内有极短纵线;两侧纵线内有模糊微颗粒;前缘鬃长30,距前缘5,前中鬃自身的间距大于与前缘鬃之间的间距,长32,距前缘36,间距36。无细孔。前翅剑形,仅基部宽;长795,宽:近基部(翅瓣端处)84,中部47,近端处31;前缘鬃23根,前脉基鬃15+端鬃3根,后脉鬃缺;翅瓣前缘鬃5根;前缘鬃长42,前脉鬃长31.中胸腹片内又骨刺长25;后胸内叉 骨刺呈双分支,长15。后胸腹片横向半月形,前缘线不特别骨化,中部略向后凹,各足股、胫节密被徽毛;前足股节较膨大,后足基节粗大,互相靠近;后胫、跗节较长。 腹部节Ⅰ-Ⅷ背片密排微毛,且后缘梳毛完整;节Ⅱ-Ⅶ背片前脊线显著,脊线上每侧有深色骨化结点2+1。节Ⅱ-Ⅶ背片鬃大小近似,除内Ⅲ鬃在后缘上以外,其余背片鬃均位于背片之前。节Ⅸ背片有弱线纹;背片鬃较特殊,前排鬃4对,长约43-50,后缘鬃6对,3对长鬃长度:背中鬃63,中侧鬃70,侧鬃95;长鬃间的短鬃也较长,长约45-50。节X背片亦有弱纹,长鬃2对,在后缘之前,长约58-68。节Ⅱ-Ⅵ腹片完全密排微毛,后缘梳毛完整,节Ⅶ-Ⅷ腹片中部缺微毛;节Ⅶ后缘两侧有梳毛。无附属鬃。 雌虫(短翅型):体色和一般结构与长翅型相似,但翅胸窄,宽似前胸,翅短小,仅伸达腹部节Ⅰ。 雄虫(短翅型):一般结构相似于雌虫,但体小,腹部节Ⅰ-Ⅶ黄色,翅短小。腹腹部节Ⅸ背鬃长度近似,约38-50,前排2对,中排1对,后排4对。腹片节Ⅳ-Ⅶ有横腺域,节Ⅶ的中部长10,端长7和10,宽41。各节腺域宽度和腹片宽度:节Ⅳ28和177,节Ⅴ27和225,Ⅵ27和180,Ⅶ41和175

鉴定/评论

选择评论分类: