专题库

西藏纹蓟马 015

2018年01月16日 03:43
西藏纹蓟马 015-1
西藏纹蓟马 015-2
中名:西藏纹蓟马
属名:Aeolothrips
种名:xizangensis
标本号:015
leiqun:昆虫类
门:节肢动物门
phylum:Arthropoda
纲:昆虫纲
class:Insecta
目:缨翅目
order:Thysanoptera
中文科名:纹蓟马科
科名:Aeolothripidae
亚科中名:纹蓟马亚科
亚科名:Aeolothripinae
作者:韩运发
年代:1986
cite1:韩运发. 1986. 中国纹蓟马属二新种记述(缨翅目:纹蓟马科).昆虫学报, 29(2):199-202.
期刊卷期:29(2)
分类群页码:199-200
论文页码:199-202
出版时间:1986/5/1 0:00:00
国内分布:西藏
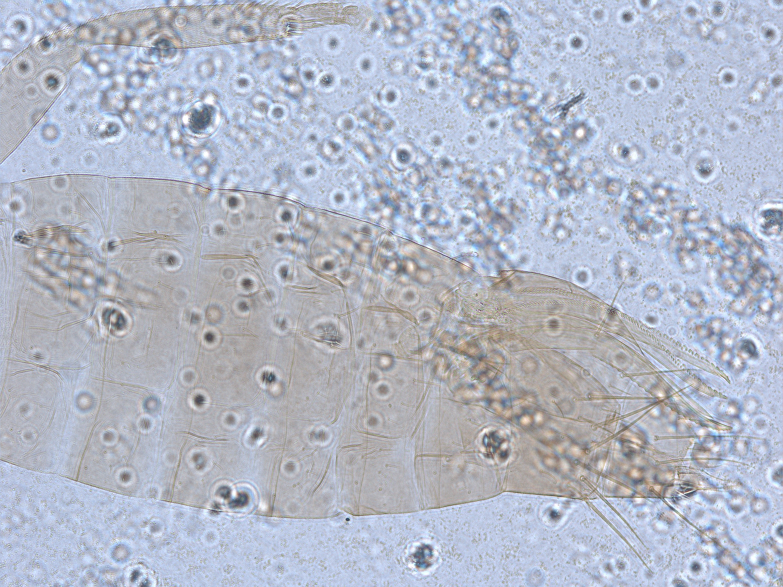
描述:雌虫:体及足暗棕色;触角节II端部及III浅黄色,其余各节棕色;前翅基色白,翅瓣基部1/4暗棕,近中部和近端部有互相分离的二个暗带;后翅灰白色。头长于前胸;节IV感觉域端部膨大而略弯;节V腹面有1个感觉锥,其基部较长,背面观似长卵形感觉域;头背短鬃约22对。后胸背板前部有几条横线,中部网纹横向而向前弯曲,侧区及后外侧区由纵线构成;前足前跗节有钩齿。腹部节IX和X背板有长鬃;腹板节II后缘鬃3对,节III-VII后缘鬃4对;节VII中对后缘鬃间距大于内II对后缘鬃与中对鬃的间距;2对副鬃分别在中对后缘鬃与内II对后缘鬃之间,或其一对在后缘中对鬃内侧,另一对在后缘中对鬃与内II对鬃之间。
资料来源:韩运发. 1986. 中国纹蓟马属二新种记述(缨翅目:纹蓟马科).昆虫学报, 29(2):199-202.
junior_syn:N
模式产地:西藏日喀则
typekeep:国家动物博物馆 标本馆
中国特有:Y
玻片号:10725
采集号:3610
性别:♀
国家:中国
产地1:XZ
采集地:西藏
产地2:米林县
产地3:米林县
采集日期:1983/7/18 0:00:00
采集人:韩寅恒
标本属性:副模
标本来源:野外采集
海拔:3000m
寄主:风轮菜
鉴定人:韩运发
pdf下载地址:015.pdf

鉴定/评论

选择评论分类:

上一篇:西藏纹蓟马 016

下一篇: